Back to blog list

Leaps and bounds: how canine hip health has progressed in the last 60 years

08 Oct 2025

Share:

Once plagued by crippling hip dysplasia, Clumber Spaniels and other breeds are now walking easier thanks to decades of dedicated screening and responsible breeding. Through 60 years of the BVA/Kennel Club hip dysplasia scheme and the perseverance of veterinary experts and breeders, measurable improvements in canine hip health show that progress is truly possible within just a few generations.

Leaps and bounds: how canine hip health has progressed in the last 60 years Image

A Clumber Spaniel from 1961. Credit:  Royal Kennel Club ©

 

Affectionate, loyal and dignified, Clumber Spaniels have long been favoured as excellent family pets. Historically, they also had terrible hips, being highly prone to hip dysplasia.

Several veterinary experts on the British Veterinary Association’s hip dysplasia panel, known as ‘Scrutineers’, recall x-ray after x-ray coming in of poor, misshapen hips. These Scrutineers utilise their expertise in veterinary orthopaedics and radiography to carry out the painstaking x-ray analysis for the hip scheme run in partnership between BVA and The Kennel Club (BVA/KC). Chief Scrutineer Elizabeth Baines shares, “When I first started, Clumber Spaniels were one of the worst breeds for the condition”.

What is canine hip dysplasia?

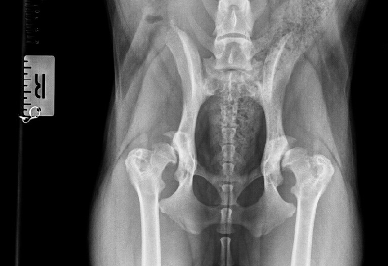
Example hip x-ray of a dog with hip dysplasia

 

Living with severe hip dysplasia is no picnic, for dogs or their owners. Dysplasia means the hip has developed abnormally. The soft tissues that connect and stabilise the joint become loose, and the ball and socket deform and sometimes drift apart. The dog experiences pain from repetitive strain injuries in the connecting tissues and microfractures from the bone and cartilage surfaces rubbing together and eroding – otherwise known as osteoarthritis.

Dogs suffering with the condition may limp, struggle to lie down or get up without groaning in discomfort, have difficulty climbing stairs or become reluctant to exercise. This can be deeply harmful for the physical and mental wellbeing of any dog, in particular athletic and heavier breeds.

Can canine hip dysplasia be treated?

Treatment options vary depending on severity of the condition. In milder cases, weight loss, activity moderation and analgesic medications for some may stave off the worst outcomes. For the less fortunate, surgery is recommended, costing between £6,000-£10,000 per hip. In most cases, both hips are affected.

History of BVA/KC hip dysplasia screening

Although its inheritance is complex, hip dysplasia has long been recognised as a largely hereditary disease. When the BVA/KC hip dysplasia scheme first launched in 1965, hips were assessed using a three-tier categorisation system: pass, breeder’s letter and fail, to help breeders decide which dogs to breed from. However, very few dogs passed, and without any further helpful information to rely on, this left breeders little choice but to make decisions that may not have been in the best interests of the breed as a whole or the dog’s offspring.

In Sweden, a hip screening program was launched for German Shepherd dogs which introduced graded scoring, providing objective, consistent data that allowed breeders to make more nuanced decisions. In 1983, a lobbying effort from Malcolm Willis, geneticist and GSD breeder, led to the BVA/KC scheme adopting its own graded system – a 0-106 measure (a maximum of 53 per hip) that is still in use today.

BVA Scrutineers working in pairs to analyse a hip x-ray

 

These scores, now forming a large comparable dataset, were used to develop a range of useful breed-specific statistics, in particular the breed median score, to track improvement over the years and give breeders something concrete to compare their dogs against. The Kennel Club maintains a searchable pedigree database that enables breeders to check the score results of potential breeding dogs and provide estimated breeding values for some breeds to increase the accuracy of selection decisions. The database also allows puppy buyers full transparency on the health history of a dog they’re hoping to welcome into their home.

The importance of data

In hip scoring as in golf, the lower the score the better. A dog with perfect hips would score 0. A score of 30 could indicate severe hip dysplasia, and at 50+ the dog might have difficulty walking. BVA and the KC recommend “only breeding from dogs with hip scores below or close to the published breed medians”. For example, from 2019 to 2024, Golden Retrievers scored a breed median of 11, so dogs scoring 10 or below would be good choices for breeding (if hip health were the only deciding factor).

Chart showing the downward trend of rolling 5-year median hip scores in six dog breeds

 

As with many illnesses in people and animals, prevention is better than cure. In the case of Clumber Spaniels, the joint efforts of meticulous hip scoring from veterinary experts and thoughtful breeding have yielded results. As Elizabeth explains, “improvement can be made if the people making breeding decisions are determined”.

Dog breeds such as Newfoundlands have also seen drastic improvements in their hips, from a rolling 5-year median score of 16 in 2000 to a score of 10 in 2023. Gordon Setters saw a similar improvement reducing their average from 15 to 10 across the same period. The 5-year mean for Clumber Spaniels has rocketed down in just the past decade, from 22 in 2013 to 13 in 2024. Remarkable improvements can be made within only a few generations.

Improving canine hip health is an ongoing project

BVA hip dysplasia panel 2025 annual meeting

 

However, the work isn’t over yet. The BVA/KC hip scheme marks its 60th anniversary this year, and while most popular breeds have shown improvement, in others progress has stalled. If breeders absent themselves from health testing for a number of years, a deterioration in hip health is almost inevitable. Progress is slowed equally when breeders have to prioritise avoiding the perpetuation of other health and behavioural issues, such as aggression and severe hereditary diseases.

The promise of ‘superior’ alternative tests has also set back progress. In the 1990s, DNA testing was touted as the next big thing. Hip scoring by radiograph sagged in uptake, but the proposed genetic test never materialised, delaying the positive trend in canine hip health.

Diagnostic imaging expert Ruth Dennis urges breeders to continue getting their dogs’ hips tested: “It’s an ongoing problem and we mustn’t get complacent.” Scrutineer Mike Herrtage echoes: “Screen now! Do not wait in the hope that some better technique of screening will become available in the ‘near’ future.”

Interested in having your dog's hips screened for hip dysplasia?

Find out more about BVA/Kennel Club hip screening services at bva.co.uk/hips

 

Share:

Want to join BVA?

Get tailored news in your inbox and online, plus access to our journals, resources and support services, join the BVA.

Join Us Today

Want the latest updates from BVA?

For tailored content in your inbox, access to world-class veterinary journals, member-only resources and support, join BVA today. Be part of our veterinary community of over 19,000 members.